Tìm kiếm: Sưng-cổ
Trứng là nguồn cung cấp đạm hoàn hảo cung cấp các dưỡng chất thiết yếu cần thiết cho não và cơ thể hoạt động tốt.
Mỗi ngày chỉ nên dùng 30-50 g hạt chia, mắc ca, óc chó..., ăn quá nhiều có thể bị tiêu chảy, rối loạn tiêu hóa, viêm dạ dày.
Bạn đang tìm mọi cách để giảm cân nhưng bất thành. Nhưng với cách dùng chanh đào ngâm mật ong, bạn sẽ bất ngờ với hiệu quả giảm cân nhanh tức thì.
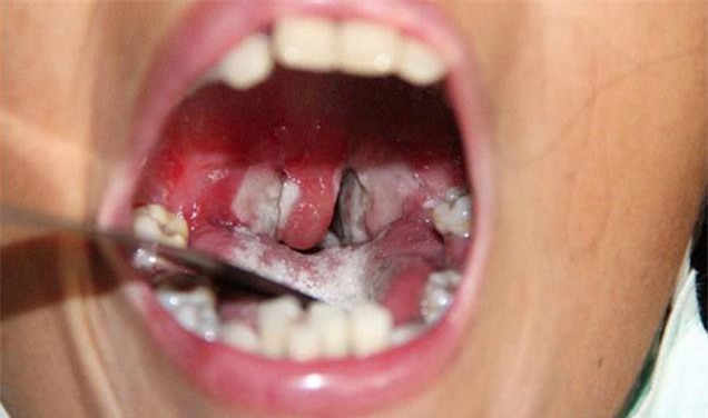
(DNVN) - Ngày 13/7, Viện Pasteur TP. HCM đã xác nhận xuất hiện ổ dịch bệnh bạch hầu ở xã Thuận Lợi và Thuận Phú huyện Đồng Phú, Bình Phước khiến 3 người tử vong.
Nghi ngờ Tài đã "hại đời" con gái mình, ông Trung cùng những người trong gia đình đã còng tay, đánh gãy chân nam thanh niên này.
End of content
Không có tin nào tiếp theo























