Tìm kiếm: chẩn-đoán
Vật liệu này có thể có các ứng dụng quy mô rộng trong ngành công nghiệp thiết bị y tế và điện tử trong tương lai.
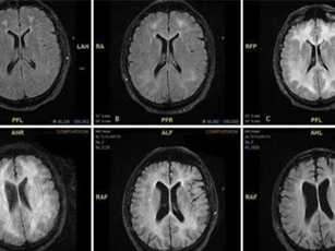
Những bằng chứng quét MRI cho thấy việc lạm dụng cocaine nặng có thể dẫn đến những thay đổi vật lý vĩnh viễn cho não bằng cách "ăn mòn" chất trắng.
Các nhà nghiên cứu từ Viện Khoa học Sức khỏe Môi trường Quốc gia (Mỹ) đã tiết lộ rằng tiêu thụ gia cầm có thể giúp chống lại nguy cơ ung thư vú ở phụ nữ.
Hơn 40 năm qua, anh Nguyễn Văn Sơn ở Ninh Bình mang căn bệnh hiếm gặp trong người, đôi bàn tay và bàn chân anh lúc nào cũng sùi lên như rễ cây. Anh là người đầu tiên ở Việt Nam mắc phải căn bệnh kỳ lạ “người cây” và là ca bệnh thứ 502 trên thế giới.
Chỉ sau vài ngày lộ diện nơi công cộng, Samsung đã chính thức công bố ra mắt thế hệ Galaxy Watch Active2, một sản phẩm mới nhất trong dòng đồng hồ thông minh Galaxy.
Sau khi tái khám chấn thương ở Singapore, các bác sỹ khẳng định trung vệ Trần Đình Trọng cần 9 tháng để hồi phục và cầu thủ này chính thức hết hy vọng dự SEA Games 30 lẫn VCK U23 châu Á 2020.
“Lẳng lặng” giết những người chủ sở hữu lẫn những người có liên quan, chiếc gương này được mệnh danh là chiếc gương sát nhân.
Có những thao tác mà với y học ngày nay chúng ta coi là bình thường, với thời đó thì kết quả có thể là "một đi không trở lại". Nhưng vì đam mê và khao khát trước tri thức, các nhà khoa học có thể làm rất nhiều điều không tưởng.
Các nhà khoa học mới đây cho biết có thể chẩn đoán chính xác tới 94% các trường hợp mắc bệnh Alzheimer nhờ xét nghiệm máu theo phương pháp mới.
Các nhà khoa học phát hiện một số trường hợp bị ảo giác đến mức không nhận ra những người thân trong gia đình. Những người này cho rằng họ đang sống cùng "hồn ma" mạo danh người thân nên cuống cuồng đi tìm người thân thật sự.
Từ nhỏ, tôi đã sống cùng với bố. Tôi không nghe bố kể xấu về mẹ bao giờ, ông chỉ nói mẹ đã lên thiên đường rồi. Những chuyện khác về mẹ, tôi được nghe cô hàng xóm kể lại. Cô ấy nói ngày xưa gia đình tôi nghèo lắm, bố mẹ tôi lấy nhau về nhưng vẫn phải chạy cơm từng bữa. Mẹ tôi thì hay đau ốm, thành ra kinh tế gia đình cứ đi xuống.
Thấy đau nhức ở vùng đầu gối chân phải, chị L.T.L. 41 tuổi ở Khánh Hòa tìm đến nhà một người ở địa phương để cắt lễ.
Hùng nghĩ ngay đến việc vợ 'hành hạ' gì mẹ mù của mình rồi. Hùng quyết định một hôm đi làm về sớm để xem cách vợ chăm mẹ như nào. Và rồi lúc đến nhà Hùng nghe tiếng choang choang bát đũa vỡ. Hùng lao vào thấy người mẹ đầy cơm dính trên người.
Không chỉ công chúng, các chuyên gia, nhà khoa học từng kinh ngạc thậm chí là khó tin khi một số ít người sở hữu đôi mắt nhìn xuyên thấu vạn vật. Nhờ khả năng này, có người sử dụng để phát hiện bệnh tật.
Người đàn ông chỉ có một chân được gọi là Rajesh luôn có mặt tại một bệnh viện công lớn ở thủ đô New Delhi của Ấn Độ và sẵn sàng cung cấp những đơn vị máu "theo yêu cầu" người mua. Bán máu và trả tiền cho người hiến máu trên thị trường đen bị coi là bất hợp pháp ở Ấn Độ, nhưng hoạt động trái phép này vẫn phát đạt trong bóng tối.
End of content
Không có tin nào tiếp theo































