Tìm kiếm: cao-răng-thường
DNVN - Không chịu khó đi lấy cao răng có thể khiến bạn phải trả giá đắt.
Không cần đi nha sỹ bạn vẫn tẩy sạch cao răng tại nhà vô cùng đơn giản.
Cao răng có thể tự lấy tại nhà bằng phương pháp vô cùng đơn giản.
Bạn sẽ có hàm răng "trắng sứ" nếu dùng bánh mì đúng cách.
Bạn chỉ cần dùng sữa chua chà lên răng sẽ không phải tốn tiền đi nha sỹ.
Bạn chỉ cần dùng sữa chua chà lên răng sẽ không phải tốn tiền đi nha sỹ.
Lạc sống có thể giúp bạn lấy sạch cao răng nhưng nhiều người không biết.
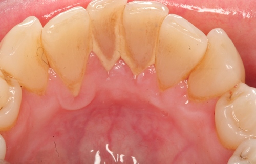
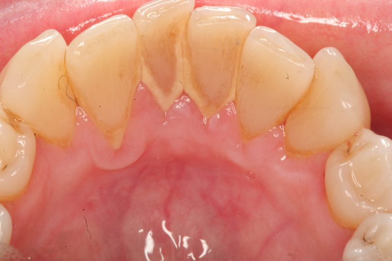
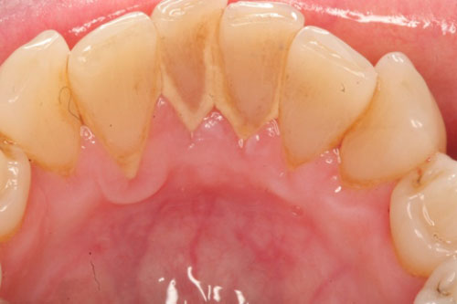
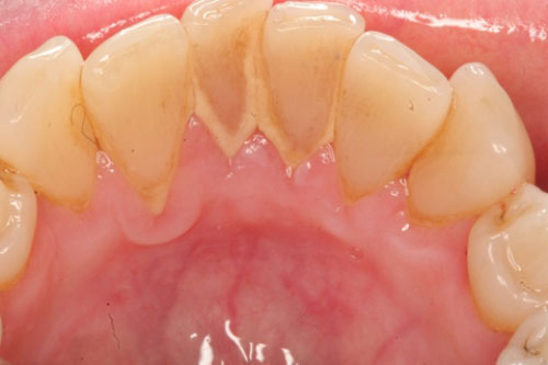
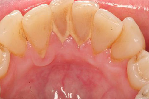
Cao răng có thể dẫn đến các bệnh như viêm lợi với các biểu hiện đánh răng chảy máu, miệng có mùi hôi.
Bạn sẽ có hàm răng "trắng sứ" nếu dùng bánh mì đúng cách.
Bạn chỉ cần dùng sữa chua chà lên răng sẽ không phải tốn tiền đi nha sỹ.
Cao răng có thể tự lấy tại nhà bằng phương pháp vô cùng đơn giản.
Cao răng có thể tự lấy tại nhà bằng phương pháp vô cùng đơn giản.
Lạc sống có thể giúp bạn lấy sạch cao răng nhưng nhiều người không biết.
Bạn sẽ có hàm răng "trắng sứ" nếu dùng bánh mì đúng cách.
Bệnh răng miệng kèm theo mùi khó chịu và màu răng ố vàng trở thành nỗi lo lớn đối với nhiều người, trong đó cao răng cũng là vấn đề được nhiều người quan tâm. Hãy trải nghiệm 1 số cách lấy cao răng tại nhà đẻ e có nụ cười tự tin.
End of content
Không có tin nào tiếp theo


































