Tìm kiếm: hoa-mắt-chóng-mặt
Thiếu mãu não mặc dù không phải căn bệnh quá nguy hiểm như ung thư, nhưng dễ dẫn tới nhiều căn bệnh nguy hiểm như đột quỵ. Bệnh có thể xảy ra với bất kỳ ai, ở mọi độ tuổi và khôg nên chủ quan.
Những thực phẩm dưới đây sẽ làm cho bệnh tình của bạn tăng nặng, nên tránh xa.
Mách bạn những phương pháp điều trị căn bệnh rối loạn tiền đình tại nhà được nhiều người áp dụng đem lại hiệu quả cao mà không tốn kém.
Bổ sung các thực phẩm giàu dinh dưỡng sẽ giúp hạn chế sự xuất hiện của những triệu chứng khó chịu như đau đầu, chóng mặt.
Theo chuyên gia dinh dưỡng bữa sáng cung cấp tới 70% năng lượng cho bạn trong một ngày. Với cách ăn sáng này bạn sẽ giảm cân nhanh chóng mà không hề thấy thiếu chất.
Trong thành phần dinh dưỡng của cà tím chứa nhiều canxi, sắt, vitamin, ít chất béo, ít calo… rất tốt cho cơ thể bạn.
Nếu thấy một trong những biểu hiện này, bạn không nên đi tắm mà cần phải dành thời gian nghỉ ngơi, ổn định sức khỏe.
5 thực phẩm dưới đây tốt cho khả năng sinh lý của cánh mày râu, nhớ bổ sung vào thực đơn mỗi ngày.
4 thực phẩm dưới đây giàu sắt rất tốt cho phụ nữ đang mang thai, thiếu máu, người suy nhược cơ thể.
3 sai lầm khi ngủ trưa dưới đây dễ làm bạn mệt mỏi, căng thẳng ảnh hưởng tới sức khỏe của bạn.
Hành tây có thể biến thành chất độc gây nguy hiểm khi kết hợp với những thực phẩm sau.
Theo quan niệm Đông y, chim bồ câu được xem là một trong những món ăn "thượng phẩm" vì sự đa dạng dinh dưỡng nhất trong nhóm "thú - cầm - điểu". Giá trị dinh dưỡng của thịt chim bồ câu là rất cao, nó vừa là một món ăn ngon, cũng là một loại thuốc bổ được đánh giá ở mức cao cấp.
Nếu bạn thường xuyên có biểu hiện dưới đây thì cần phải đi khám não khẩn cấp nếu không sẽ gặp nguy hiểm.
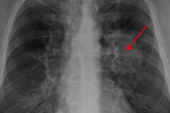
Ung thư phổi là một trong những căn bệnh ung thư nguy hiểm. Bệnh nhân bị ung thư phổi có tỷ lệ sống sót rất thấp. Dưới đây là 8 dấu hiệu cảnh báo ung thư phổi sớm nhất.
Thường xuyên bỏ bữa sáng rất nguy hiểm, nó có thể làm ảnh hưởng đến hoạt động của các cơ quan nội tạng. Dưới đây là những tác hại khó lường từ thói quen xấu này.
End of content
Không có tin nào tiếp theo

































