Tìm kiếm: san hô
Ký sinh trùng ăn lưỡi hay còn gọi là rận ăn lưỡi, còn được một số nhà khoa học nước ngoài gọi là ký sinh trùng Betty, là một loài giáp xác ký sinh. Rận cá chủ yếu ký sinh trên cá, phần lớn ký sinh trên cá nước mặn, một số ít ký sinh trên cá nước ngọt.
Khi đi du lịch, việc lưu trú tại khách sạn là điều cần thiết nhưng 3 khách sạn được giới thiệu dưới đây là một trong những điểm tham quan được nhiều du khách đặc biệt sẽ trải nghiệm hoặc ghé thăm. Không chỉ vậy, khi ngủ ở đây sẽ khiến bạn sợ hãi, với những ngón tay lạnh cóng, những con cá mập vây quanh, những vách đá…
Không chỉ các loài sinh vật biển, mà những người bẩm sinh đã sợ rắn chắc cũng không dám đối diện với rắn biển.
Bạn sẽ ngỡ ngàng khi đặt chân đến bãi tắm đôi, một bên nóng một bên lạnh, ở giữa là bãi cát trắng trải dài này. Nó sẽ rất phù hợp cho kỳ nghỉ lễ 5 ngày dịp 30/4 và 1/5 sắp tới.
Nếu đã từng đến Wilsons Promontory, điểm cực nam của lục địa Úc, bạn sẽ bị hấp dẫn bởi một hòn đảo rỗng có hình dạng bí ẩn và nổi bật kỳ lạ giữa biển khơi.
Sống ở Australia mà không đi câu là phí!
Bạn sẽ phải đi đến Quần đảo Galapagos ở Thái Bình Dương để tận mắt nhìn thấy loài cá dơi môi đỏ. Đây là một trong nhiều loài đặc hữu của Galapagos (có nghĩa là chúng không được tìm thấy ở nơi nào khác.
Tôi tin rằng những bạn thích xem phim truyền hình cổ trang chắc chắn sẽ thấy rằng nhiều bộ trưởng, thậm chí cả hoàng đế trong phim truyền hình cung đình nhà Thanh sẽ đeo một chuỗi đồ vật tương tự như chuỗi hạt Phật giáo quanh cổ, khiến mọi người tò mò về công dụng của thứ này.
Con chim này đã 72 tuổi và nó bắt đầu tìm kiếm người bạn tình mới sau thời gian dài xây tổ.
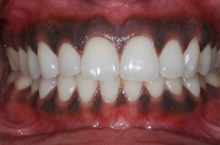
Nướu có màu đen thay vì màu hồng không phải là trường hợp hiếm thấy ở nhiều người. Liệu điều này có ảnh hưởng gì đến sức khỏe răng miệng của bạn không.
Không phải ai cũng may mắn để có thể chiêm ngưỡng được vẻ đẹp của 4 cảnh quan thiên nhiên kỳ lạ trên thế giới.
Những chuỗi hạt này không đơn giản là đồ trang trí mà còn hàm chứa nhiều ý nghĩa lớn bên trong.
Cuộc sống có những lúc đẩy bạn vào thế khó xử nhưng sống làm sao để ngẩng cao đầu, không thẹn với lòng mình thì cần phải rèn luyện những đức tính này.
Các nhà khoa học cho biết việc phát hiện ra hai loài mực lùn có kích thước bằng móng tay sống ở các rạn san hô Nhật Bản là dấu hiệu của một hệ sinh thái lành mạnh.
Cận cảnh hiếm hoi 2 con bạch tuộc giao phối khiến những người chưa bao giờ được chứng kiến không khỏi bất ngờ.
End of content
Không có tin nào tiếp theo


























