Tìm kiếm: ung-thư-thận
Ông Bedford bỏ ra số tiền lớn để được đóng băng, chờ ngày khoa học giúp hồi sinh, nhưng chỉ được 10 năm tiền đã cạn.
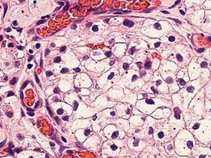
Bên cạnh các yếu tố khách quan thì yếu tố di truyền là một trong những nguyên nhân gây ra bệnh ung thư.
Bánh mì là món ăn quen thuộc và yêu thích của nhiều người. Tuy nhiên, việc sử dụng nhiều bánh mì trong thời gian dài lại đem tới những tác hại không ngờ.
Những thực phẩm hàng ngày chứa rất nhiều chất gây ung thư, nhưng rất nhiều người vẫn đang ăn chúng mỗi ngày.
Anh Triệu bắt đầu có triệu chứng bệnh viêm ruột như buồn nôn, nôn ói, đau bụng và được đưa vào phòng cấp cứu sau khi ăn những quả xoài bị thâm đen.
Chuối chứa nhiều chất dinh dưỡng có lợi cho sức khỏe toàn cơ thể, bao gồm kali, kiểm soát sự thèm ăn, và vị ngọt tự nhiên. Chuối là một loại “kẹo” tự nhiên: nó ngọt tự nhiên đến nỗi khiến bất cứ thứ gì ghép đôi với nó đều mang hương vị của món tráng miệng, nhưng là phiên bản lành mạnh hơn nhiều.
Với tiền sử 5 lần phẫu thuật ổ bụng, đến tuổi 70 cụ bà lại mắc bướu thận ở giai đoạn tiền ung thư. Cụ đã tránh được nguy cơ vướng các dải xơ dính, tổn thương nội tạng, tắc ruột, liệt ruột… nhờ robot phẫu thuật cắt bướu thận sau phúc mạc.
Chẳng ai nghĩ làm điều này vào buổi tối lại khiến cơ thể phải đối mặt với nhiều vấn đề sức khỏe nguy hại. Nếu biết được những thông tin sau, chắc chắn bạn sẽ không dám lặp lại thêm một lần nào nữa.
Chủ quan bỏ qua những dấu hiệu này vô tình khiến tỷ lệ chữa khỏi bệnh của bạn bị giảm xuống, thậm chí còn dẫn đến nhiều biến chứng tai hại.
Bạn có thể nghĩ "ung thư" là một bệnh, nhưng thực ra đó là một thuật ngữ chung cho nhiều loại ung thư. Dưới đây là cách các bác sĩ phân loại chúng.
Theo đúc rút của tạp chí “Quốc phòng” (Mỹ), dưới đây là những “tuyệt chiêu” đơn giản không ngờ mà bạn có thể áp dụng hàng ngày để phòng chống bệnh ung thư.
Ăn uống không đúng cách cũng có thể do dẫn đến ung thư. Dưới đây là những thực phẩm có thể gây ra bệnh ung thư nếu ăn nhiều.
Theo nghệ sĩ Vượng râu, Đàm Vĩnh Hưng là một trong những ca sĩ được trả cát xê cao nhất trong thời điểm hiện tại.
Năm 2018 được xem là một năm có khá nhiều biến động vì thế các nhà sản xuất hài tết đều cố gắng khai thác triệt để các sự kiện nóng hổi để các sản phẩm hài tết vừa mang tiếng cười vui vẻ ngày xuân nhưng cũng mang hơi thở cuộc sống.
Ung thư có thể tới từ chính những công việc mà chúng ta đang làm. Hãy cùng theo dõi bài viết dưới đây để tìm hiểu 7 nghề nghiệp dễ mắc ung thư ít người biết.
End of content
Không có tin nào tiếp theo

































