Tìm kiếm: Bệnh-viện-quận-Thủ-Đức
Hôi miệng gây nên tình trạng mất tự tin, xấu hổ khi giao tiếp với người xung quanh.
DNVN - Sở Y tế TP.HCM vừa có văn bản giao các bệnh viện và Trung tâm Y tế quận, huyện, TP.Thủ Đức thực hiện xét nghiệm cho người dân cần có kết quả xét nghiệm để ra khỏi địa bàn TP.HCM cũng như quy định mức giá xét nghiệm COVID-19.
DNVN – Sau khi phát hiện 2 ca dương tính với Covid-19 tại Công ty TNHH Puku Việt Nam (Khu công nghiệp Đồng An 1, phường Bình Hoà, TP.Thuận An), lực lượng chức năng tỉnh Bình Dương đã đưa 600 công nhân được xem là F1 của các ca bệnh tại công ty, đi cách ly tập trung.
DNVN - Ngày 10/6, nữ công nhân Công ty Puku Việt Nam (Khu công nghiệp Đồng An 1, TP. Thuận An), thấy trong người mệt mỏi nên đã đến Bệnh viện đa khoa quận Thủ Đức (TP.HCM), để khám, lấy mẫu xét nghiệm và cho kết quả dương tính với Covid-19.
DNVN - Cục Y tế dự phòng (Bộ Y tế) cho biết, tính đến ngày 29/4/2021, trên toàn quốc đã có 123 đơn vị được Bộ Y tế cho phép xét nghiệm khẳng định COVID-19, trong đó miền Bắc có 59 đơn vị, miền Trung và miền Nam lần lượt có 15 và 45 đơn vị.
Hôi miệng gây nên tình trạng mất tự tin, xấu hổ khi giao tiếp với người xung quanh.
Các bác sĩ khoa Hồi sức tim mạch – Bệnh viện quận Thủ Đức đã cấp cứu thành công một ca bệnh nhồi máu cơ tim cấp cho một người đàn ông 65 tuổi.
Để chuẩn bị bữa cơm cho gia đình, anh N.P.T (sinh năm 1977) ra vườn nhà hái rau thì bất ngờ cảm thấy đau nhói ở bàn tay trái.
Một nữ sinh 18 tuổi ở Bình Dương bị tai nạn giao thông chấn thương sọ não, phải trải qua 4 lần phẫu thuật sức khỏe mới phục hồi.
DNVN - Sở Y tế TP.HCM đã cho kích hoạt bệnh viện điều trị Covid-19 Cần Giờ hoạt động trở lại kể từ 9h sáng ngày 1/8/2020. Bên cạnh đó, Sở GTVT thành phố đã thành lập Tổ giám sát thực hiện các biện pháp phòng chống dịch Covid-19 trong lĩnh vực giao thông vận tải trên địa bàn.
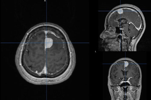
Các bác sĩ Khoa Ngoại Thần kinh, Bệnh viện quận Thủ Đức (TP.HCM) vừa phẫu thuật thành công khối u màng não cho nữ bệnh nhân 58 tuổi.
Nhiều thực phẩm được xem như “thần dược” tốt cho sức khỏe, giúp tiêu diệt 90% tế bào ung thư, thậm chí có tác dụng gấp 1.000 lần thuốc đặc trị.
Sáng nay 15/7, nguồn tin riêng của PV Dân trí xác nhận, Đội cảnh sát hình sự (CSHS), Công an phường Bình Chiểu (Công an quận Thủ Đức) với sự hỗ trợ của các đơn vị thuộc Công an Bà Rịa – Vũng Tàu, Công an phường An Bình (TX Dĩ An, tỉnh Bình Dương) đã bắt giữ nghi can dùng dao cứa cổ tài xế xe ôm cướp tài sản.
Trong lúc chơi lego xếp hình, cậu bé Nguyễn Quang D. (8 tuổi, ngụ tại Bình Dương) sơ ý ngập đồ chơi nên bị sặc vào phổi.
Ông Nguyễn Văn Minh, Phó Trưởng Phòng GD-ĐT thị xã Dĩ An (Bình Dương) cho biết, em P.Q.L - học sinh lớp 5 Trường tiểu học An Bình B (TX Dĩ An, Bình Dương) vừa được phẫu thuật cứu tính mạng thành công sau khi bị nhóm bạn học cùng lớp ép nuốt 9 viên bi sắt nam châm.
End of content
Không có tin nào tiếp theo
































