Tìm kiếm: cocaine
Một phụ nữ Italy trốn lệnh bắt giữ trong suốt hai năm bằng cách đóng giả nữ tu và trốn trong các tòa án ở miền Bắc Italy.
Chảy máu mũi thường xảy ra vào mùa lạnh và ở những địa phương có độ ẩm thấp, làm khô niêm mạc mũi.
Việc loại bỏ các loại nước giải khát, nước ngọt có ga khỏi chế độ ăn uống đã được công nhận là biện pháp giúp giảm cân và cải thiện sức khỏe một cách nhanh chóng. Tuy nhiên, đây lại không phải việc dễ dàng với một số người. Vậy nguyên nhân nào khiến các loại đồ uống có ga hấp dẫn người uống đến vậy.
Giới chức Uruguay thông báo tịch thu một khối lượng cocaine kỷ lục, lên tới 4,4 tấn, tại cảng Montevideo trong một chiến dịch truy quét tội phạm buôn lậu ma túy.
Adam Neumann của WeWork là nhà sáng lập startup tỷ 'đô' mới nhất gia nhập câu lạc bộ những người bị 'hất cẳng' khỏi công ty của mình - gồm nhiều tên tuổi như Steve Jobs, Travis Kalanick.
Lời nguyền "kim cương xanh" khiến Hoàng hậu Thái Lan Sirikit đột quỵ hay lời nguyền lãnh chúa Tamerlane khiến 7,5 triệu người mất mạng... trở thành nỗi ám ảnh kinh hoàng.
Đối với bất kỳ tù nhân nào phải thụ án trên đất Mỹ, nhà tù liên bang ADX Florence thực sự là nỗi khiếp đảm đối với họ.
So với Mỹ, giá cocaine ở thị trường đen châu Âu đắt hơn nhiều do quãng đường vận chuyển xa. Tuy nhiên lợi nhuận quá lớn đã khiến châu Âu luôn là thị trường hấp dẫn của các băng buôn lậu ma túy. Vì vậy, hiện nhiều nước châu Âu đang phải đối mặt với nạn buôn lậu ma túy có nguồn gốc từ Nam Mỹ.
Các gia tộc có truyền thống định hình bản đồ tội phạm Argentina. Nhưng một thị trường tiêu thụ ma túy đang phát triển, tham nhũng nhà tù và thiếu sự phối hợp giữa chính quyền địa phương khi giải quyết các nhóm này khiến chúng có cơ hội phát triển mạnh mẽ.
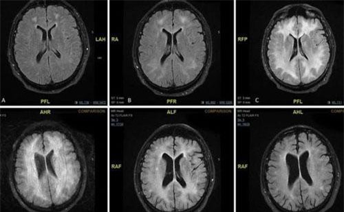
Những bằng chứng quét MRI cho thấy việc lạm dụng cocaine nặng có thể dẫn đến những thay đổi vật lý vĩnh viễn cho não bằng cách "ăn mòn" chất trắng.
Để chống lại vấn nạn thuốc lắc, nhà chức trách Hà Lan đã sản xuất loại nước hoa có tên Xtacy với mùi ngọt ngào đặc trưng của MDMA (tên khoa học của thuốc lắc).
"Thiếu tướng Yuri Devyatkin, cục trưởng cục phòng chống ma túy của lực lượng Cảnh sát Moscow và thiếu tướng Andrei Puchkov, Cảnh sát trưởng khu vực hành chính phía tây Moscow, bị bãi nhiệm", sắc lệnh của ông Putin viết.
Nhiếp ảnh gia Italy Karl Mancini dành 3 tháng sống ở khu ổ chuột Isla Maciel, ngoại ô Buenos Aires, ghi lại cuộc sống chật vật và khắc khoải của những người trẻ tuổi.
Đó là con đường vận chuyển ma túy trị giá hàng tỷ USD mà bạn chưa từng nghe đến: cocaine và methamphetamines được đóng gói, vân chuyển bẳng thuyền từ Mỹ và Mỹ Latinh đến Australia qua các đảo ở Nam Thái Bình Dương - những nơi thường được biết đến là thiên đường du lịch nghỉ dưỡng.
Xuất hiện từ rất sớm nhưng cho đến giờ những căn bệnh kỳ lạ này vẫn chưa có phương pháp điều trị cụ thể.
End of content
Không có tin nào tiếp theo






























