Tìm kiếm: giải-thích-hiện-tượng
Bộ não Heslington thể hiện một sự bất thường, với nhiều sợi tơ hơn ở các khu vực chất xám.
Một phụ nữ mang thai thời trung cổ tử vong sau một ca phẫu thuật não vẫn sinh con trong lúc bị chôn dưới mộ.
Dơi rất sợ nước và bất đắc dĩ mới bay khi mưa, vì sao lại như vậy? Trên thế giới có loài rơi ma cà rồng hút máu, vậy loại này có hiện diện ở Việt Nam.
Trên thế giới, không có nước nào không có nhà tù. Nhưng các nhà tù sau đây ở Áo, Bolivia và Philippines được coi là có một không hai về mặt kiến trúc, phương cách quản lý, chính sách trừng giới. Tất cả đều xuất phát từ đặc điểm của xã hội mỗi nước cho nên không dễ bắt chước.
Khi đốt sau, phần lớn các động cơ của tiêm kích Nga đều phụt ra lửa màu xanh trong khi đó ở chiều hướng ngược lại, động cơ phản lực Mỹ lại "rực cháy" với lửa vàng đỏ.
Khi dừng xe đúng tại điểm đánh dấu trên đồi nam châm, du khách sẽ thấy hiện tượng lạ xảy ra. Khi đó, ô tô dù đã tắt máy vẫn tự lên dốc với vận tốc khoảng 15 – 20 km/h.
Màu xanh tươi trên lông các loài chim quý không phải là màu tự nhiên của lông vũ mà là do hiệu ứng ánh sáng tạo ra khi bị phân tán trên bề mặt các lớp lông của chim. Làm thế nào để chúng có màu lông quý phái như vậy? Những loài chim nào được coi là 'Quốc điểu' của một số nước trên thế giới.
Pin Mặt trời ra đời cách đây hơn 100 năm. Tuy nhiên, pin Mặt trời thời kỳ đầu hoạt động kém hiệu quả nên không được sử dụng rộng rãi. Hiệu suất của chúng dần được cải thiện khi Phòng thí nghiệm Bell (Bell Labs) ở Mỹ phát triển các tế bào quang điện làm từ tinh thể silic (Si) vào năm 1954.
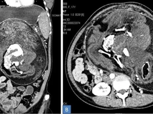
Tình trạng y tế hiếm gặp được báo cáo gọi là Fetus in fetu (thai trong thai).
Bạn sẽ xử lý ra sao nếu chiếc TV trong phòng khách nhà mình thường tự bật lên vào giữa đêm rồi phát ra những tràng cười một cách kỳ lạ.
Các gia tộc có truyền thống định hình bản đồ tội phạm Argentina. Nhưng một thị trường tiêu thụ ma túy đang phát triển, tham nhũng nhà tù và thiếu sự phối hợp giữa chính quyền địa phương khi giải quyết các nhóm này khiến chúng có cơ hội phát triển mạnh mẽ.
UFO xuất hiện trong suốt thời kỳ chiến tranh lạnh lại là đề tài nóng bỏng lúc bấy giờ. Đến tận bây giờ chúng vẫn khiến các nhà khoa học tranh cãi.
Lửa bắt đầu lan sang các ngón tay, khi Renateau dùng tay trái để dập lửa thì bàn tay trái của anh ta cũng bốc hỏa nốt.
Các nhà khoa học đã tiết lộ chi tiết mô phỏng về một lỗ đen hay còn gọi là hố đen, giúp giải mã bí ẩn trong hơn bốn thập kỷ qua rằng làm thế nào những "con quái vật" này có thể "tiêu hóa" vật chất hút vũ trụ.
Nếu xuất hiện một trong các dấu hiệu dưới đây, bạn cần đến gặp bác sĩ để kiểm tra các vấn đề về sức khỏe tim mạch - căn bệnh đang gia tăng nhanh.
End of content
Không có tin nào tiếp theo

































