Tìm kiếm: nicotine
Đây là những việc tuyệt đối không nên làm khi bạn vừa ăn xong vì nó sẽ gây ảnh hưởng nghiêm trọng tới sức khỏe của bạn.
Có nhiều thói quen tưởng chừng vô hại nhưng nếu bạn không thay đổi sớm sẽ gây tổn thương gan, thận trầm trọng.
Sinh tố bơ chuối là sự kết hợp hoàn hảo giữa 2 loại hoa quả cực kỳ bổ dưỡng và mang lại rất nhiều tác dụng cho sức khỏe. Cùng tìm hiểu những tác dụng của sinh tố bơ chuối đối với sức khỏe và làm đẹp ngay sau đây.
Ở tuổi 46, siêu mẫu Kate Moss đã cai được những thói quen xấu và đang duy trì lối sống lành mạnh khiến bạn bè, người thân rất bất ngờ.
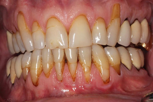
Những người hút thuốc lá điện tử có thể dẫn đến các bệnh nướu răng nghiêm trọng do một loại vi khuẩn gây nên, theo Reuters.
Các nhà khoa học thực hiện thí nghiệm để chúng ta đỡ phải tò mò mà thử nghiệm.
Công nghệ mới này giúp phát hiện tàn dư của khói ám trên vật liệu mà từ đó có thể xác định được thành phần chất hóa học của nó.
Thời điểm sau bữa ăn rất quan trọng, có rất nhiều việc không nên làm, bài viết này nhắc bạn những điều đơn giản nhất để không gây hại sức khỏe.
Nhiều Sa hoàng nổi tiếng trong lịch sử có những sở thích vô cùng đặc biệt khiến công chúng bất ngờ.
Người bệnh có thể chủ động ngăn ngừa và phòng chống bệnh gan hiệu quả bằng cách bổ sung những loại thực phẩm giải độc gan ở bài viết dưới đây vào thực đơn hàng ngày.
Có khá nhiều thực phẩm bổ dưỡng, giàu vitamin, tốt cho sức khỏe hoặc những 'món' ưa thích của nhiều người như rượu bia, nước trà, đồ ăn nhanh... nhưng lại 'đại kỵ' với người bệnh bị cao huyết áp.
Bạn sẽ có vô vàn lợi ích cho sức khỏe nếu hình thành được thói quen ăn tỏi sống mỗi ngày bởi có rất nhiều tác dụng trong việc phòng, điều trị bệnh tim mạch, ung thư, nhiễm trùng, xương khớp.
Các nhà khoa học tại Trung tâm Ung thư Masonic thuộc Đại học Minnesota (Mỹ) phát hiện thuốc lá điện tử có thể làm thay đổi vật liệu di truyền, trong các tế bào khoang miệng của người sử dụng và làm tăng nguy cơ ung thư. Kết quả nghiên cứu của họ được trình bày tại Hội nghị và Triển lãm Quốc gia lần thứ 256 của Hiệp hội Hóa học Mỹ (ACS).
Không ít những thực phẩm quen thuộc hay thậm chí là món ăn yêu thích của nhiều người lại chứa chất độc gây ung thư loại 1.
Có những hành động tưởng chừng như vô hại nhưng thật ra chúng lại đang ngầm hủy hoại hạnh phúc của bạn từng ngày. Dưới đây là những việc bạn chớ nên làm trước khi ngủ, theo tạp chí Bright Side.
End of content
Không có tin nào tiếp theo

































