Tìm kiếm: thai-trong-thai
Nhiều lần tôi được mấy chị hàng xóm kể lại việc mẹ chồng nói xấu mình nhưng không muốn đôi co. Song có vẻ tôi càng nhịn thì bà lại càng được đà, muốn nói gì thì nói.
Các bác sĩ đã vô cùng sửng sốt khi em bé chào đời với 2 chân dính liền nhau như đuôi cá hay em bé bị mắc hội chứng về da hiến gặp khiến da rạn nứt, môi như miệng cá.
Rau ngót vốn được xem là một món ăn ngon bổ dưỡng, thường thấy trong mâm cơm mỗi gia đình. Không chỉ vậy bạn có thể làm đẹp bằng rau ngót.
Khi ăn trái cây, bà bầu cần lưu ý những điều sau đây.
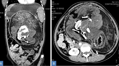
Tình trạng y tế hiếm gặp được báo cáo gọi là Fetus in fetu (thai trong thai).
Thấy bụng cậu con trai mới chào đời được 4 tháng ngày càng phát triển lớn, phụ huynh đưa tới bệnh viện thăm khám. Kiểm tra hình ảnh, các bác sĩ phát hiện một khối thai chiếm hết nửa bụng bên phải của bệnh nhi.
Các bác sĩ đã lấy ra một bào thai không còn khả năng sống sót ra khỏi cơ thể của một cậu bé mới 15 tuổi.
(DNVN) - Các bác sĩ của bệnh viện huyện Midnapore, bang Tây Bengal, Ấn Độ đã bị sốc khi phát hiện bào thai chết lưu trong bụng một cậu bé 4 tuổi nhập viện vì đau bụng.
(DNVN) - Mới đây, một cậu bé 4 tuổi ở Ấn Độ được phát hiện là đang mang thai và bào thai đã phát triển được một phần.
(DNVN) - Tờ chinadaily (Trung Quốc) đưa tin, các bác sĩ đã phát hiện một song thai đang ký sinh trong bụng em bé 8 ngày tuổi.
End of content
Không có tin nào tiếp theo




























