Tìm kiếm: đi-rừng
Ông Tám Đô, một vị lão thành cách mạng có uy tín ở đảo là nhân chứng tiếp theo về chuyện rắn khổng lồ. Người ta kể rằng ông từng có nhiều năm chiến đấu trong rừng nên đã nhiều phen có dịp giáp mặt rắn hổ mây khổng lồ.
Từng bảo vệ buôn làng khỏi nanh vuốt của thú dữ, sự xâm lăng của quân thù, mũi tên độc và cây thần độc được coi là “bùa hộ mệnh” của đồng bào nơi đây.
Nấm tràm được người dân Phú Quốc nâng niu bởi vòng đời của nó rất ngắn, mưa ít khó mọc, mưa nhiều khó sống. Hành trình băng rừng tìm kiếm loại nấm hiếm này được mô tả lại đầy sinh động và thú vị.
Cán bộ Khu bảo tồn thiên nhiên Bắc Hướng Hóa, tỉnh Quảng Trị đã trực tiếp đến hiện trường và ghi nhận có nhiều dấu chân và mẫu phân nghi của bò tót.
Dù hãng xe Nhật Bản chưa có kế hoạch sản xuất cụ thể, nhưng việc giới thiệu chiếc xe concept theo phong cách bán tải - Jimny Sierra tại Triển lãm xe độ Tokyo vừa qua cũng đã làm dấy lên hy vọng cho người hâm mộ.
Rừng Khe Rỗ, xã An Lạc, huyện Sơn Động (Bắc Giang) mùa này có muôn loài hoa dại đua hương, khoe sắc. Đàn ong khoái cũng theo đó mà kéo nhau về xây tổ và luyện mật. Đồng bào dân tộc Tày, Nùng theo hướng bay của ong khoái đi săn mật ngọt.
Sâu chít - loại công trùng xuất hiện trong thân những cây chít mọc trên rừng và chỉ có ở một số tỉnh Tây Bắc, trong đó có tỉnh Điện Biên. Loại sâu này lại trở thành thứ đặc sản được nhiều người săn lùng dù cho có giá bán lên đến 1 triệu đồng/kg.
Cháo hàu thơm và ngọt, gỏi nhộng ong bùi ngậy hay bánh tằm thơm mùi cà ri là những món ăn "dễ nghiền", được nhiều người thích thú khi đến Cà Mau.
Mỗi kg cỏ lạ được thương lái thu mua với giá vài chục đến cả trăm triệu đồng. Người dân các xã thuộc huyện Bình Liêu, tỉnh Quảng Ninh bỏ việc vào rừng săn lùng loài "thần dược” này.
Trên độ cao 2.000m của rừng già âm u, những người nông dân từng ngày ươm mầm, canh giữ những vườn sâm vô giá.
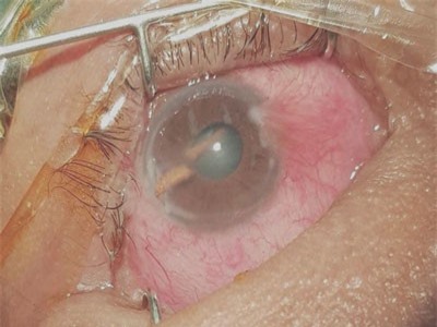
Trong lúc đi rừng chặt dây mây, một người đàn ông đã bị gai mây đâm vào mắt dẫn đến nhãn cầu bị xuyên thủng và vỡ thể thủy tinh.
Lang thang hết nửa giờ quanh các vườn sâm, chúng tôi mới gặp được ông chủ Trần Hoàn - người được coi là giàu nhất Tây Nguyên, bởi giá trị vườn sâm khó mà ước đoán, chỉ có thể nói là vô giá.
Với những cây chè cổ thụ có tuổi đời từ vài trăm năm đến cả nghìn năm thì lá và đặc biệt là búp chè được người Trung Quốc chế biến, bán ra thị trường với giá lên tới vài tỷ đồng/kg. Tuy nhiên, ở Việt Nam, loại chè này còn có cả rừng.
Những củ tam thất của vị đại gia hiện sinh sống tại quận Hoàng Mai - Hà Nội mới mua về sánh ngang với loài sâm quý trên núi Ngọc Linh. Có những củ lên tới hàng trăm triệu đồng.
Hình thù và giá thành rẻ như khoai lang nhưng lại có tác dụng giải khát, thanh lọc cơ thể, nhuận tràng, loại sâm này đang tạo nên cơn sốt tại Hà Nội.
End of content
Không có tin nào tiếp theo


































