Tìm kiếm: Mảng-bám
Việc đánh răng tưởng chừng như đơn giản nhưng không phải ai cũng làm đúng để giúp răng trắng, sạch.
Thật tốt khi một người biết tiết kiệm từng xu, không mua sắm bốc đồng và hay mắc nợ, để dùng tiền vào những dịp cần thiết. Nhưng dù chắt bóp đến mấy, đây là những thứ bạn nên đầu tư 'hàng xịn' để dùng.
Khi mọi người ăn xong, tôi cùng với em chồng thu dọn bát đũa và mang ra góc sân rửa bát. Đang định vào nhà lấy cái ghế để mang ra ngồi rửa thì đúng lúc mẹ chồng đi tới.
Dung dịch kem đánh răng và nước vo gạo có rất nhiều tác dụng tuyệt vời. Hãy cùng tìm hiểu nhé.
Phương pháp chữa đau răng tại nhà sẽ giúp bạn tiết kiệm chi phí hơn so với việc ra nha khoa. Nhưng chúng tôi đặc biệt khuyên rằng nếu bạn đang mang thai, cho con bú hoặc dị ứng với các thành phần thảo dược, vui lòng tham khảo ý kiến nha sĩ trước khi sử dụng các biện pháp này.
Những ngày “rớt dâu” tuy mang lại khó chịu nhưng cũng là “thời điểm vàng” để chị em tăng cường thải độc cơ thể, làm sạch tử cung.
Chất xơ trong loại rau này giúp làm chậm quá trình hấp thụ đường vào máu. Luộc rau này ăn mỗi ngày là một cách để hạ đường huyết rất hiệu quả.
Khi ăn các loại trái cây, mọi người thường có thói quen gọt bỏ phần vỏ và chỉ ăn phần ruột. Tuy nhiên, bạn có biết hàm lượng dinh dưỡng trong vỏ một số loại quả còn lớn hơn phần ruột.
Có một số loại củ quả ở vỏ có hàm lượng dinh dưỡng còn nhiều hơn cả ruột nhưng nhiều người vẫn vô tư không biết mà gọt bỏ vỏ đi.
Loại gia vị này tốt cho đường ruột, tăng cường hệ miễn dịch, tốt cho xương và tim, ở Việt Nam cũng được bán khá phổ biến.
Loại củ này có thể ngăn ngừa tiểu đường, bệnh tim và một số loại ung thư, đồng thời hỗ trợ hệ tiêu hóa khỏe mạnh.
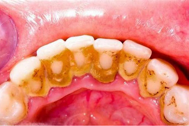
Cao răng chính là nguyên nhân chính khiến cho răng bạn mất đi độ sáng và bóng. Những cách làm sạch cao răng đơn giản tại nhà sau sẽ giúp bạn.
Rau má không phải là loại rau dại vô tác dụng mà ngược lại, nó có rất nhiều lợi ích cho sức khỏe.
Chuyện gì sẽ xảy ra nếu như một con hươu cao cổ không có đốm chấm? Sự khác biệt này khiến chúng nên được nuôi nhốt cả đời!
Hạt hướng dương là món ăn vặt phổ biến của nhiều người. Vậy công dụng của hạt hướng dương là gì mà nhiều người thích ăn tới vậy? Chúng ta có cần lưu ý gì khi ăn hạt hướng dương không.
End of content
Không có tin nào tiếp theo

























