Tìm kiếm: Ngó-sen
Hạt sen có chứa chất oxy hóa cao, vitamin, chất kháng viêm rất tốt cho sức khỏe và quá trình chăm sóc da mặt của bạn.
Trong dân gian, có khá nhiều bài thuốc hay chữa viêm xoang đã được đúc kết và lưu truyền. Nếu bạn muốn ở trong máy lạnh, điều hòa mà không sợ viêm xoang tái phát thì hãy bỏ túi ngay 3 bài thuốc quý dưới đây nhé.
Hạt sen không chỉ là món ăn ngon mà còn nhiều tác dụng vàng cho sức khỏe.
Công dụng của bột sắn dây là gì? Cần lưu ý gì khi sử dụng bột sắn dây.
Nếu gia đình bạn chưa từng thử, đã từng thử nhưng chưa tự tay làm hay đã làm thử nhưng chưa thành công thì bạn có thể tham khảo cách làm chân giò hầm hạt sen vô cùng đơn giản dưới đây.
Quất không chỉ là cây cảnh của mùa xuân, chúng còn là vị thuốc chữa được nhiều bệnh, đặc biệt với trẻ em.
Chính nhờ vào hàm lượng dưỡng chất dồi dào mà hạt sen có rất nhiều tác dụng đối với sức khỏe của chúng ta. Dưới đây là một số công dụng chủ yếu của hạt sen.
Đây là loại hạt hết sức quen thuộc và chắn bạn sẽ mê đắm vị thanh mát của nó. Không những vậy, loại hạt này còn đem đến rất nhiều công dụng tuyệt vời quý hơn cả đan dược của tiên ông đấy.
Bài viết này giới thiệu đến bạn một vài thức uống đơn giản, dễ chế biến hỗ trợ điều trị viêm phổi rất hiệu quả.
Hãy tham khảo thực đơn món ngon cả tuần dưới đây để việc đi chợ của bạn không còn mất nhiều thời gian nữa.
Trong thời kỳ bầu bí và sau sinh, mẹ đừng quên thêm hoa chuối vào thực đơn vì những lợi ích to lớn kỳ diệu mà thực phẩm này đem lại.
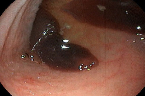
Đây là trường hợp bệnh nhân nữ 42 tuổi ở Quế Phong, Nghệ An được chẩn đoán sán lá ruột lớn.
Bún bò cay, xá pấu, bồn bồn, lẩu mắm, mắm chua… là những món đặc sản ăn ngon, bổ rẻ và nổi tiếng bạn không nên bỏ lỡ khi đến Bạc Liêu.
Đây chính là loại củ dân dã từng được coi là "quà tiến vua", cực tốt cho sức khỏe nhưng giờ bị thờ ơ
Đây chính là loại củ dân dã từng được coi là "quà tiến vua" vì tốt cho sức khỏe nhưng giờ bị thờ ơ ít ai quan tâm và tận dụng.
Các loại rau củ thủy sinh như: rau muống, rau rút, rau cần, rau cải xoong... chứa nhiều chất dinh dưỡng nhưng cũng chứa nhiều giun sán nhất.
End of content
Không có tin nào tiếp theo


































