Tìm kiếm: bệnh-về-răng
Nếu bạn có thói quen làm những việc này vào buổi sáng sau khi thức dậy, nghĩa là bạn đang có một sức khỏe cực kỳ tốt và tinh thần tươi trẻ. Hãy duy trì đều đặn để không bao giờ phải gặp bác sỹ vì đau ốm nhé.
Những nguyên liệu vô cùng đơn giản tưởng như bỏ đi xung quanh chúng ta nhưng lại có tác dụng không ngờ như vỏ chanh không chỉ làm đẹp da tốt cho sức khỏe răng miệng vệ sinh mà còn chống ung thư và giúp xương chắc khỏe.
Lá tía tô được phụ nữ Nhật Bản sử dụng rất nhiều trong cuộc sống hàng ngày để chăm sóc da và hỗ trợ giảm cân hiệu quả.
Uống hỗn hợp này đều đặn sẽ kéo dài tuổi thọ thêm 15 năm - các bạn hãy tìm hiểu ngay.
Nếu bạn thấy có mùi vị lạ như ngủ dậy miệng đắng mặc dù đã đánh răng cẩn thận trước khi đi ngủ hoặc sáng sớm, chính là cảnh báo nội tạng bạn đang gặp vấn đề và có nguy cơ mắc các bệnh nguy hiểm là rất cao.
Nước ép giảm cân giúp bạn giảm cân đốt cháy mỡ thừa, chống lại quá trình chống lại oxy hóa làm đẹp da mặt.
Trong thời điểm dịch Covid-19 đang bùng phát trở lại, chúng ta cần nâng cao các biện pháp phòng bệnh. Dưới đây là 8 thói quen đơn giản giúp bạn giữ gìn sức khỏe, tránh xa bệnh tật.
Tình trạng nha chu như sâu răng, viêm lợi gây ê nhức, đau buốt...sẽ khỏi nhanh chóng nếu biết đến chén nước thông dụng này.
Viêm họng khiến bạn luôn cảm thấy đau rát họng, gặp khó khăn khi nuốt, sốt, thường xuyên nhức đầu. Các cách dưới đây sẽ giúp bạn chữa viêm họng hiệu quả, nhanh chóng mà không cần dùng đến thuốc tây.
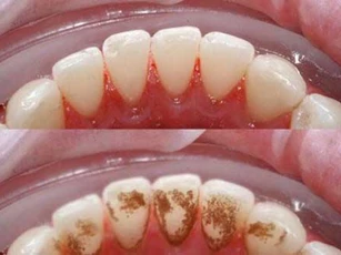
Cao răng dày đến mấy cũng tự bật ra từng mảng, hôi miệng cỡ nào cũng hết chỉ với 1 ngàn đồng khi ngậm thứ này buổi sáng.
Ung thư là căn bệnh có tỷ lệ tử vong cao và chi phí điều trị đắt đỏ. Các nhà khoa học cho biết nguyên nhân gây ung thư có liên quan lớn tới thói quen sinh hoạt và ăn uống hàng ngày.
Một bữa sáng đầy đủ dinh dưỡng rất quan trọng, đặc biệt là với trẻ nhỏ đang trong giai đoạn phát triển.
Chè vằng là loại thảo mộc có công dụng cao trong điều trị chứng mất ngủ, nóng trong người do gan, phòng ngừa ung thư, lợi sữa cho bà bầu, giảm cân hiệu quả. Hãy cùng tìm hiểu kỹ hơn về tác dụng của chè vằng trong bài viết sau đây.
Những người ăn đường mỗi ngày có nguy cơ bị nhồi máu cơ tim hoặc chết vì nhồi máu cơ tim cao hơn 20% so với những người ít khi uống đồ ngọt.
Không phải lúc nào chúng ta cũng đều có thể thực hiện việc nhổ răng vì nếu trong những thời điểm sức khỏe cơ thể không đảm bảo thì việc nhổ răng hoàn toàn có thể gây ra biến chứng rất nguy hiểm. Dưới đây là những thời điểm tuyệt đối cần tránh đi nhổ răng mà các bạn nên tìm hiểu, lưu ý.
End of content
Không có tin nào tiếp theo


































