Tìm kiếm: mảng-bám-trên-răng
Thường xuyên dùng các loại đồ uống này sẽ làm tăng nguy cơ mắc ung thư.
Sử dụng chỉ nha khoa là phương thức vệ sinh răng miệng hiệu quả tuy nhiên nếu bạn dùng không đúng kỹ thuật thì sẽ bị chảy máu chân răng, nhiễm trùng nướu,….
DNVN – Không chỉ là nguyên liệu nấu ăn quen thuộc trong gian bếp, cà rốt có những siêu lợi ích đối với sức khỏe mà ít người quan tâm.
Những nguyên liệu có sẵn trong nhà bếp có thể giúp loại bỏ mảng bám, mang lại một hàm răng trắng sáng cho bạn.
Những thực phẩm dưới đây gây hại cho răng miệng của bé, mẹ không nên cho bé sử dụng nhiều.
Vỏ chuối không chỉ có giá trị dinh dưỡng cao, nó còn có thể giúp bạn làm đẹp như tẩy trắng răng, trị mụn hạt cơm, hay kháng viêm.
Kết quả quá trình nghiên cứu của hai nhà báo người Pháp Jean-Christophe Brisard và Lana Parshina có thể sẽ hé lộ được bí ẩn cái chết của Hitler.
Chỉ cần dành 3 phút buổi tối làm điều này, cả đời chẳng phải đến nha sỹ lấy cao răng - ai cũng cần nằm lòng.
Chế độ ăn uống hàng ngày không lành mạnh chính là một trong số những yếu tố gây nguy cơ ung thư. Trong đó có 3 loại nước sau có khả năng cao gây ung thư và thậm chí còn được Tổ chức Y tế Thế giới đưa vào danh sách đen, cảnh báo mọi người nên hạn chế sử dụng.
Những dấu hiệu cảnh báo dưới đây không chỉ cho bạn biết răng miệng đang có vấn đề mà còn báo trước căn bệnh nguy hiểm không thể xem thường.
Hơi thở có mùi khiến cả bạn và người đối diện đều cảm thấy khó chịu. Có nhiều cách trị hôi miệng bằng lá ổi đơn giản và an toàn mà bạn có thể áp dụng thử tại nhà.
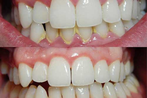
Khi cao răng dày và vàng úa gây nên hiện tượng viêm nha chu dẫn đến tiêu xương, nặng hơn thậm chí còn gây lung lay và rụng răng. Vì vậy cần phải có cách điều trị thích hợp vỏ chanh và giấm sẽ giúp bạn lấy lại hàm răng trắng khỏe ban đầu.
Chỉ với 5 phút, bạn đã có thể loại bỏ được hoàn toàn cao răng cũng như mảng bám trên răng, chấm dứt hôi miệng.
Trong ép lựu chứa nhiều chất chống oxy hóa, vitamin C, kháng viêm… tốt cho sức khỏe và hệ tim mạch của bạn.
Nếu thường xuyên ăn loại củ này, chắc chắn bạn sẽ có hàm răng trắng sáng, chắc khỏe khiến bao người mê mẩn.
End of content
Không có tin nào tiếp theo


































