Tìm kiếm: vôi-hóa
Lê là một loại quả có lợi cho việc giảm cân và kiểm soát lượng đường trong máu hiệu quả mà bạn nên ăn hằng ngày.
Hơn 15 năm sau khi được phát hiện, “ Midnight Terror Cave” (tạm dịch “Hang động khủng bố lúc nửa đêm”) ở Belize vẫn để lại manh mối ban đầu về hơn 100 người là vật cúng tế cho thần mưa Maya hơn một thiên niên kỷ trước.
Bổ sung canxi đúng cách, đúng liều lượng sẽ giúp bé phát triển toàn diện.
Lão hóa da sẽ không còn là nỗi ám ảnh nếu chị em duy trì 7 thói quen này hàng ngày.
Hầu hết chúng ta đều quan tâm tới việc bổ sung vitamin cho cơ thể tới mức quên mất rằng việc dư thừa chúng cũng gây hại chẳng kém gì so với việc thiếu chúng cả.
Những việc không nên làm sau 9 giờ tối để bảo vệ sức khỏe của mình.
Trong thành phần của tỏi chứa nhiều allicin, chất oxy hóa giúp bạn sống khỏe mạnh mỗi ngày.
Trong thế giới tự nhiên, không một loài động vật nào có thể tấn công trực tiếp phá vỡ mai rùa.
Trong thế giới tự nhiên, không một loài động vật nào có thể tấn công trực tiếp phá vỡ mai rùa.
Vitamin C là một trong những loại vitamin thiết yếu, nó cần thiết cho sự phát triển và hoạt động của hệ miễn dịch, duy trì sức khỏe, tăng cường sức đề kháng ngăn ngừa các tác nhân gây hại. Thiếu vitamin C sẽ gây ra nhiều tác hại đối với cơ thể bạn.
Hàm răng trắng là mơ ước của nhiều chị em nhưng không phải ai cũng biết cách tẩy chúng đâu nhé.
Vitamin là chất dinh dưỡng cần thiết nhưng nếu bổ sung sai cách lại gây hại cơ thể.
Tẩy trang, làm mềm da, dưỡng môi... là những công dụng tuyệt vời của vaseline mà rất nhiều chị em chưa biết.
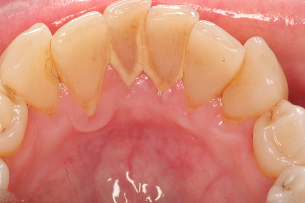
Cao răng hay còn được gọi là vôi răng gồm những mảnh cứng bám chặt trên răng lâu ngày không được xử lý.
Muối kết hợp với baking soda đúng cách giúp bạn loại bỏ cao răng tại nhà.
End of content
Không có tin nào tiếp theo
































