Tìm kiếm: thiểu-năng-trí-tuệ
Vì thói ham mê sắc dục, quan hệ bừa bãi, thậm chí loạn luân mà những vị vua dưới đây đã phải gánh chịu hậu quả lớn.
DNVN - Từ các bộ phận xù xì của cây tre, anh Thái Đăng Tiến (SN 1986, trú xã Châu Khê, huyện Con Cuông, Nghệ An) đã biến thành những sản phẩm mỹ nghệ có giá trị kinh tế. Không chỉ làm giàu cho bản thân, chàng trai miền sơn cước ấy còn tạo công ăn việc làm cho những người khuyết tật Đan Lai giúp họ có niềm tin hơn vào cuộc sống
Đậu phụ là món ăn ngon, bổ, rẻ, có mặt thường xuyên trong mâm cơm gia đình. Tuy nhiên, nhiều nhà sản xuất để trục lợi đã làm đậu phụ pha thạch cao, cực kỳ nguy hiểm.
Đậu phụ là món ăn ngon, bổ, rẻ, có mặt thường xuyên trong mâm cơm gia đình. Tuy nhiên, nhiều nhà sản xuất để trục lợi đã làm đậu phụ pha thạch cao, cực kỳ nguy hiểm.
Người Đức rất thích mặc quần áo tối màu, đặc biệt là màu đen và hiếm khi mặc quần áo màu sáng trên đường phố.
4 loại món ăn dưới đây khiến cho mẹ bầu sinh con ra dễ mắc dị tật bẩm sinh, thiểu năng trí tuệ, chỉ số IQ thấp.
Những vị hoàng hậu này dù nhan sắc kiều diễm hay xấu xí vô cùng nhưng đều nổi danh vì sự tàn ác, thâm độc với bất kể kẻ cản đường nào trong cuộc chiến tranh quyền đoạt lợi chốn thâm cung.
Những điều kiêng kỵ trong 3 tháng đầu mang thai luôn là mối quan tâm hàng đầu của chị em khi mới bắt đầu làm mẹ. Để đảm bảo một thai kỳ khỏe mạnh, các mẹ nên ghi nhớ 6 điều cần tránh dưới đây.
DNVN - Tối 1/9, Ban chỉ đạo Phòng, chống dịch Covid-19 (BCĐ Covid-19) TP Đà Nẵng cho hay, từ 6h đến 18h cùng ngày, trên địa bàn TP không phát hiện trường hợp mắc Covid-19 mới. Như vậy đây là ngày thứ 3 liên tiếp (tính từ 6h sáng 30/8) Đà Nẵng không có ca dương tính mới trong cộng đồng.
Mẹo đơn giản nhất để phân biệt đậu phụ thật và đậu phụ làm từ thạch cao - ai ai cũng cần biết nhằm đảm bảo an toàn cho sức khỏe.
Là một trong những gia tộc có tiếng tăm bậc nhất tại Mỹ, dòng họ nhà Kennedy bất ngờ phải hứng chịu những bi kịch đeo bám suốt hơn 7 thập kỷ.
Hẳn mỗi người trong số chúng ta đều từng ít nhất một lần nghe qua, thậm chí đọc đi đọc lại nhiều lần nội dung bức thư nhà bác học thiên tài Albert Einstein gửi cô con gái Lieserl.
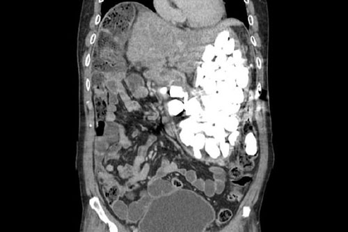
Người đàn ông 54 tuổi than phiền bị đau bụng dữ dội nên đi khám. Các bác sĩ phát hiện bụng ông căng chướng và có thể sờ thấy nhiều vật nhỏ lổn nhổn ở bên trong.
Cái chết của những người liên quan tới vụ án oan khiến nhiều người tin rằng lời nguyền của Johnny Frank Garrett đã trở thành sự thật.
Không cần phải đến rạp chiếu phim để đón xem những bộ phim vừa “ra lò”, chỉ cần ờ nhà và cùng bạn trai/bạn gái xem 10 bộ phim tâm lý Mỹ đạt giải Oscar dưới đây cũng đủ hâm nóng tình yêu của cả hai người.
End of content
Không có tin nào tiếp theo


































